2020年9月22日,《Cell Stem Cell》期刊在線發表了題為《人干細胞來源的神經元修復環路重塑神經功能》的研究論文,該研究通過解析帕金森病模型鼠腦內移植的人多巴胺能神經元重構的神經環路,發現移植干細胞來源的神經細胞可以特異性修復成年腦內受損的黑質-紋狀體環路,改善帕金森病模型動物的行為學障礙。該研究主要由中國科學院腦科學與智能卓越創新中心(神經科學研究所)、上海腦科學與類腦研究中心、神經干細胞平臺負責人陳躍軍研究員指導,與復旦大學附屬兒科醫院周文浩/熊曼研究組,美國威斯康辛大學張素春研究組合作完成。
神經元是大腦的基本功能單元,我們腦內有上千種不同類型的神經元,神經元之間形成復雜而精確的網絡連接(神經環路),是我們感知世界,思考和行為的基礎。很多神經系統疾病,包括中風,腦外傷,和神經退行性疾病(帕金森病和阿爾茲海默病等),都會導致腦內神經元的丟失和神經連接的破壞,進而產生嚴重的神經功能障礙,比如偏癱,運動遲緩,肌肉僵直,學習記憶能力受損等。然而包括人在內的成年哺乳動物大腦神經再生能力十分有限,對于這些神經元丟失導致神經連接破壞和神經功能受損的疾病,臨床上缺乏有效治療措施。通過腦內移植干細胞來源的神經細胞,替代腦內丟失的神經細胞的功能(干細胞治療),是潛在的治療措施之一。神經系統疾病干細胞治療的關鍵是對受損神經環路的修復和功能重建,然而我們腦內神經元之間精確的網絡連接是在發育過程中逐漸形成的,其中涉及復雜的神經纖維生長導向的機制。在成年疾病腦環境中,移植的神經細胞能否長出神經纖維,橋接“失聯”的上游和下游腦區,進而修復受損的神經環路仍然不清楚。更重要的是這種修復作用是移植細胞隨機整合的結果還是特異性的修復?其背后的機制和原則是什么?這些都是神經系統疾病干細胞治療領域亟待解決的關鍵問題。

圖注:女媧補天(腦),寓意通過移植干細胞來源的神經細胞,特異性修復大腦中受損神經環路,重塑神經功能 。
針對以上問題,團隊成員以帕金森氏病為模型,研究了成年腦內移植干細胞來源的神經細胞修復受損神經環路的可行性和機制。帕金森氏病是以靜止性震顫,肌強直,運動遲緩等為主要表現的全球第二大神經退行性疾病,其主要原因是大腦黒質腦區的多巴胺能神經元進行性丟失,導致黒質腦區至紋狀體腦區神經連接的破壞,進而造成紋狀體內多巴胺分泌不足,最終導致病人運動功能的障礙。團隊成員一直致力于開發針對不同類型神經元的人源干細胞神經分化技術,并在此基礎上建立了高效的人干細胞分化中腦黒質多巴胺能神經元的方法。團隊成員進一步通過基因編輯技術對人干細胞進行了遺傳學標記,從而能夠特異性示蹤干細胞來源的人多巴胺能神經元及其神經纖維。團隊成員把遺傳學標記的人多巴胺能神經元移植到帕金森氏病模型鼠受損的黒質腦區,結果發現,黒質腦區移植的人多巴胺能神經元長出大量神經纖維,沿著內源黒質-紋狀體神經連接相似的路徑,特異性地生長并延伸到其內源靶區域-紋狀體,和紋狀體神經元形成神經連接,并且絕大部分神經纖維都投射到了紋狀體。團隊成員進一步通過遺傳學技術和狂犬病毒介導的示蹤技術,追蹤了黒質移植的人多巴胺能神經元接受的上游神經支配,發現移植的人多巴胺能神經元接受與內源黒質多巴胺能神經元相似的神經支配。對神經元電生理功能的研究發現,移植的人多巴胺能神經元表現出和內源小鼠黒質多巴胺能神經元相似的電生理特性,接受相似的神經遞質調控。這些結果說明帕金森病模型小鼠腦內移植的人多巴胺能神經元特異性的修復和重建了受損的黒質-紋狀體神經連接,并且其結構和功能與內源神經連接高度一致。最后,團隊成員通過行為學檢測發現,細胞移植組小鼠運動功能障礙隨著移植時間延長逐漸得到改善,而通過化學遺傳學技術抑制移植神經細胞的活性,小鼠運動功能的改善就消失了,提示移植細胞重建的神經功能連接介導了模型小鼠行為學的恢復。有趣的是,團隊成員在帕金森病模型小鼠的黒質移植另外一種類型的神經細胞-人皮層谷氨酸能神經元,其神經纖維則主要投射到皮層和嗅球腦區,幾乎不投射到紋狀體,無法修復受損的黑質-紋狀體神經環路,模型動物的運動功能障礙也不能得到改善,說明只有特定類型的細胞才能修復特定的神經功能環路。
該研究提示成年腦內受損的神經連接可以通過移植干細胞來源的神經細胞實現結構和功能上的修復,重塑神經功能。同時該研究也發現,不同類型的神經細胞對環路的修復作用是不同的,提示對于不同類型神經元丟失造成的神經系統疾病,需要有針對性的移植特定的神經細胞進行環路修復和治療。這些發現為腦損傷和神經退行性疾病的治療提供了新的思路和理論基礎。現在人腦內主要的神經細胞類型已經可以通過干細胞神經分化技術在體外高效獲得,干細胞技術的發展將為很多神經系統疾病的治療帶來新的希望。
復旦大學附屬兒科醫院熊曼博士與美國威斯康辛大學陶冶錚博士是該項工作的第一作者,中國科學院腦科學與智能卓越創新中心高琴琴博士,馮斑碩士和嚴唯博士也做出了重要貢獻。本研究得到了中科院、科技部、基金委和上海市科委的資助。

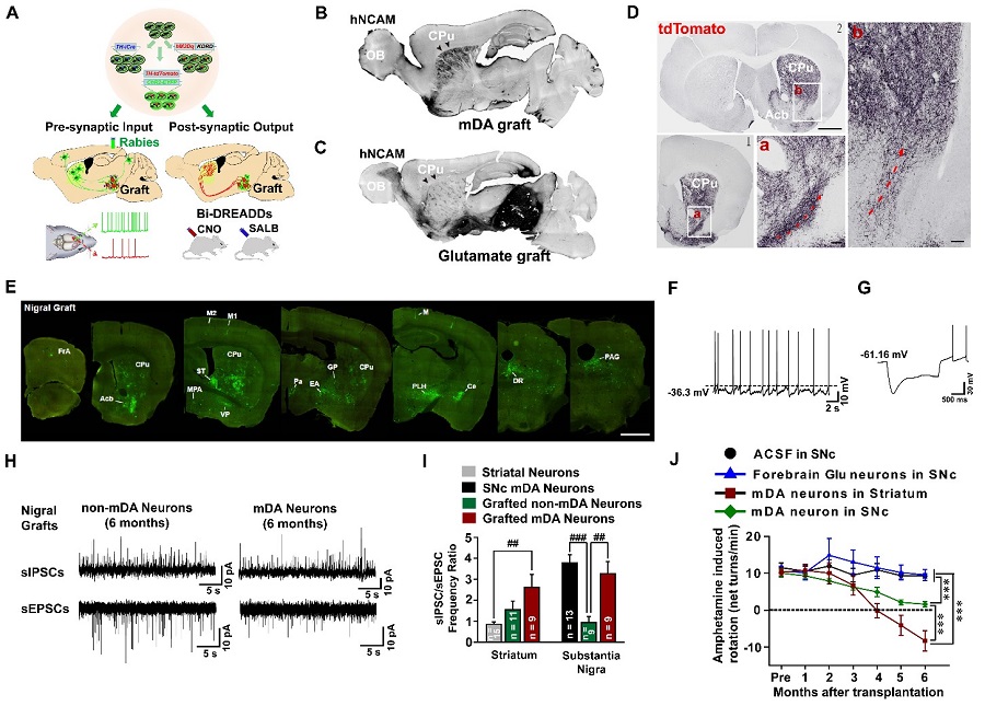
圖注:A. 實驗的總體設計和方案。B-C. 通過人特異性抗體hNCAM染色發現移植到黒質的多巴胺能神經元,而不是皮層谷氨酸能神經元,發出神經纖維投射到背側紋狀體。D. 通過遺傳學技術特異性標記多巴胺能神經纖維,同樣發現黒質移植的多巴胺能神經元主要投射到背側紋狀體。E. 狂犬病毒示蹤技術發現移植到黒質的多巴胺能神經元接受上游多腦區的神經支配。F-G. 電生理實驗顯示移植的多巴胺能神經元表現為內源黒質多巴胺能神經元相同的電生理特性。H-I. 黒質的多巴胺能神經元接受內源黒質多巴胺能神經元相似的功能性神經支配。J. 黒質移植的多巴胺能神經元,而不是皮層谷氨酸能神經元,可以改善帕金森病模型動物的行為學障礙。